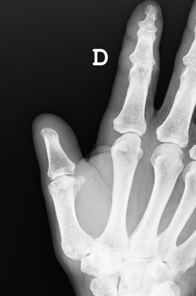
Caso clínico: Varón de unos 70 años que sufre accidente doméstico al quedar atrapado su dedo pulgar en la sierra que estaba usando. Acude a Urgencias.
Amputación a nivel de interfalángica con gran afectación de partes blandas y colgajos de piel desvitalizados. Se muestran las radiografías.
Al mes y medio comienza a usar el dedo y a dejarlo al aire, siguiendo curas y tratamiento de la piel.

Radiografía de control. En la operación se extirpó el cartílago de la falange y se remodeló para permitir buena cobertura de partes blandas.
Radiografía a los tres meses y resultado final.











No hay comentarios:
Publicar un comentario